Paediatric Hip Ultrasound

Paediatric Hip Ultrasound
Paediatric Hip Ultrasound

What Is a Hip Ultrasound?

A hip ultrasound uses sound waves to make images of the hip.

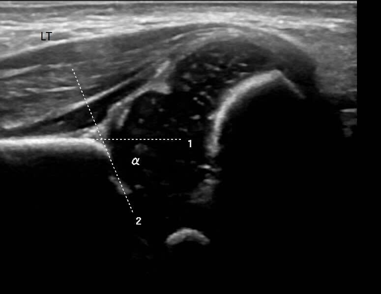
An ultrasound machine sends sound waves into the hip area, and images are recorded on a computer. The black-and-white images show the internal structures of the hip, including the ball-shaped top of the thighbone (femoral head) and its socket (acetabulum) in the pelvic bone.

Preparation -

It might help to feed your baby just before the ultrasound to make your little one more relaxed. During the test, comfort your baby with a calm and soothing voice or sing a favourite song. Make sure to stand where your baby can see your face.

Image courtesy of Dr Yusra Sheikh

Book a Package